软件介绍
无极云影像是一款全新推出的免费医用影像软件,集实时影像查询、远程会诊、影像管理与医患沟通于一体。用户可通过该平台随时查看CT、MRI等医学影像及报告,及时与医生交流,全面掌握自身健康状况。软件支持跨医院影像调阅,助力精准诊断,同时提供个性化医疗服务,满足多样化的医疗需求,是高效、安全、便捷的智慧医疗工具。
软件优势
1、方便快捷:支持随时随地在线咨询医生,免去传统就医中的排队挂号烦恼。
2、专业可靠:由专业医生根据影像资料提供权威诊断建议,保障医疗质量。
3、高效协同:医生可快速调取影像数据和病历信息,提升诊疗效率。
4、安全加密:采用先进加密技术,确保用户医学影像与隐私数据的安全存储与传输。
5、多端兼容:支持多种设备和操作系统,适配不同用户的使用环境。
使用教程
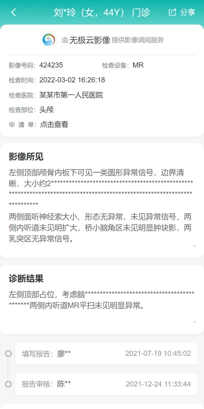
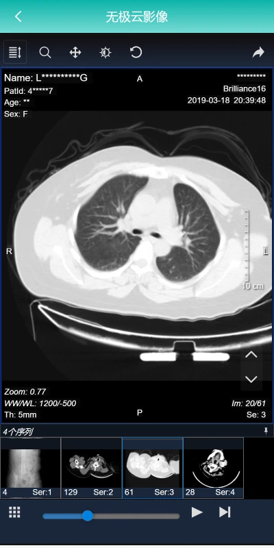
1、打开无极云影像APP,选择对应医院,通过搜索查找患者影像信息。
2、进入患者影像详情页,浏览CT、MRI等图像,切换序列并结合诊断报告辅助判断病情。
3、在患者列表中按检查时间、科室等条件筛选,快速定位目标患者。
4、点击报告图像,调阅相关影像进行报告撰写,实现高效诊断输出。
5、使用个人影像档案管理功能,系统化保存和查看自己的全部影像资料。
更新日志
v1.0.5版本:调整SDK初始化逻辑,修复部分机型在调阅报告时出现的异常问题,提升系统稳定性与兼容性。


